Es habitual que para prácticas médicas de complejidad, los arrecifeños nos traslademos a grandes centros urbanos, donde existe mayor tecnología y –en teoría- mejores especialistas. Buenos Aires, La Plata y Rosario son los lugares más elegidos. Y más cerca de Arrecifes, ciudades como Pergamino y Junín.
Pero en ocasiones esas mismas prácticas se pueden realizar también en Arrecifes, con el mismo equipamiento médico y con profesionales muy capacitados. Y no siempre sabemos que contamos con esto en nuestra propia ciudad.
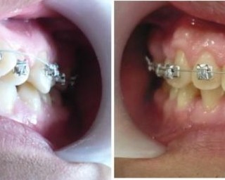
Es el caso, en odontología, del sistema de Ortodoncia autoligable (sistema Damon) que la Dra. Carina Davini realiza en su consultorio. Esta tecnología americana de última generación es única en Arrecifes y en la región, y para la cual la odontóloga se viene capacitando desde 2005. Este es un dato importante puesto que no cualquier odontólogo está preparado para realizar esta técnica.
¿QUÉ ES LA ORTODONCIA AUTOLIGABLE?
El sistema autoligable muestra una serie de ventajas importantes respecto de la ortodoncia convencional.
-En el sistema tradicional la fuerza es aplicada diente por diente; en cambio el sistema Damon trabaja con fuerzas ultralivianas, estimulando los tejidos que actúan como sostén de los dientes y actuando sobre la musculatura de la boca, no tanto sobre los dientes. Esto hace que sea más cómodo, más fácil de llevar.
-La aparatología es diferente. En la ortodoncia convencional se utiliza un braquet con aletas pegado a cada diente, con gomitas fijando el arco metálico al braquet y al diente. En el sistema autoligable, en cambio, se utiliza un braquet con tapita donde el arco metálico (super elástico) no queda ajustado y ejerce menos presión.
-En este sentido, tampoco se utiliza en el sistema Damon ninguna aparatología adicional sobre el paladar, que no es nada cómoda, por lo que no resulta tan invasivo, y es lo que permite realizarlo en personas adultas.
-Reduce la necesidad de extracciones por falta de espacio. En la mayoría de los casos ni siquiera son necesarias.
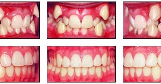
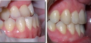
-Menor tiempo de tratamiento. Como en la ortodoncia tradicional, depende de cada caso, pero en promedio el tiempo que demanda la corrección de la dentadura es la mitad del sistema convencional. Con este sistema, el 80% de los casos están en la etapa final a los ocho meses.
-No tiene límite de edad. Hasta el momento la ortodoncia sólo estaba pensada en niños y adolescentes; en cambio este sistema se practica en adultos mayores, cualquiera sea su edad.
-El sistema Damon también hace mucho hincapié en la fisonomía del rostro, en su perfil. Con esta corrección se mejora notablemente la cara del paciente, rejuveneciéndola en personas adultas.
-Mejora estética. Depende del costo, pero cuenta con braquets transparentes que se hacen casi imperceptibles a la vista.
-Acorta las visitas al odontólogo. Con el sistema Damon el paciente tiene que concurrir menos al odontólogo.
MÁS CARO, PERO NO TANTO
Lógicamente, un tratamiento de avanzada a nivel mundial tiene un costo superior, aunque se realice en Arrecifes. No obstante, la Dra. Carina Davini aclara que “no es tanta la diferencia de precio con un tratamiento convencional. El costo depende de la complejidad del caso a tratar, pero está al alcance de cualquier persona asalariada de clase media. Fundamentalmente porque no se paga todo junto, sino que se hace un pago inicial y luego se va completando mensualmente, junto con el tratamiento”.
Cabe destacar que, al no tener que viajar, se reducen los costos en viaje y también en el tiempo del que uno debe disponer realizándolo en otra ciudad.
“Es un tratamiento algo más caro que el convencional pero mucho más cómodo. Todo lo que estudié en los posgrados está dirigido a procesos cortos, que es el estilo que se aplica en Estados Unidos. Se evitan los tratamientos largos, agotadores tanto para el paciente como para el propio odontólogo”, destaca la profesional.
CENTRO REGIONAL
El sistema Damon con el que trabaja la Dra. Davini no sólo comenzó a captar pacientes arrecifeños que antes viajaban a otras ciudades sino que atrae a gente de toda la región, a la cual le resulta más cerca y más cómodo venir a tratarse a Arrecifes. En la zona no hay otro tratamiento de ortodoncia de este tipo.





















